
By
魚沼基幹病院

By
日本離床学会
![脳出血 | 看護roo![カンゴルー]](https://i0.wp.com/img.kango-roo.com/upload/images/shorinsha/noushinkei/29/tab_29_8.png?ssl=1)
By
看護roo!(カンゴルー)

By
ameblo.jp

By
踊る救急医

By
テコプラ

By
日本離床学会
![医学界新聞プラス [第4回]深部感覚障害には,どのように感覚入力をするのですか? | | 医学界新聞プラス記事一覧 | 医学界新聞プラス | 医学書院](https://i0.wp.com/www.igaku-shoin.co.jp/application/files/5416/5268/2722/30-1.jpg?ssl=1)
By
医学書院

By
メデュケーション

By
看護学生宿題代行サービス

By
医療事故情報収集等事業

By
kindai.repo.nii.ac.jp

By
Yahoo!フリマ - Yahoo! JAPAN

By
nursing-plus.com

By
kmcb.or.jp

By
脳外臨床研究会

By
lab.hmw.gr.jp

By
日本産婦人科医会

By
脳卒中ケア研究会

By
kindai.repo.nii.ac.jp
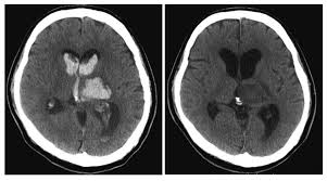
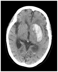
脳 室脳 穿脳 破脳 と脳 は脳 看護脳 97G102脳 |脳 脳出血脳 国試脳 |脳 テコプラ脳 脳卒中患者様のリスク管理に必要なこと脳 |医療脳 看護脳 介護のセミナー・研修情報サイト脳 メデュケーション脳 病気がみえる